PRODUCT SERIES 产品展示
货号:5664T
以10 mM HEPES(pH 7.5),150毫米NaCl,100 µg/ml BSA,50%甘油和小于0.02%的酰硫酸钠供应。存储在–20°C。请勿等分抗体。
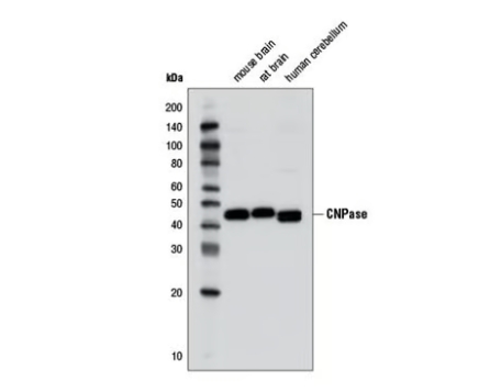
CNPase(D83E10)XP Rabbit MAB识别总CNPase蛋白的内源水平。
物种反应性:
人,小鼠,大鼠
单克隆抗体是通过与与人CNPase蛋白瓦尔81周围残基相对应的合成肽免疫动物来产生的。
CNPase(2',3'-循环核苷酸3'-磷酸二酯酶)催化2',3'-循环核苷酸的体外水解产生2'-核苷酸。该核苷酸磷酸二酯酶的体内分子功能和天然底物仍在研究中(1)。 CNPase在少突胶质细胞和Schwann细胞中可见高的CNPase表达,因为CNPase约占中枢神经系统中总髓磷脂蛋白的4%(2)。 CNPase与微管蛋白异二聚体结合,并在微管蛋白聚合和少突胶质细胞过程中起作用(3)。在CNPase敲除小鼠中可以看到典型的髓鞘形成,但是它们因轴突丧失而遭受严重的神经退行性,而少突胶质细胞在轴突变性之前显示出异常的偏anodal环结构。偏an道路环通常接触轴突信号传导中的轴突; CNPase敲除小鼠中的神经变性是细胞 - 细胞通信受损的次要结果(4)。
Esposito,C。等。 (2008)生物化学47,308-19。
Kozlov,G。等。 (2003)J Biol Chem 278,46021-8。
Lee,J。等。 (2005)J Cell Biol 170,661-73。
Lappe-Siefke,C。等。 (2003)NAT Genet 33,366-74。
Human Endometrium Organoid terminate Digestion Solution 人子宫内膜类器官终止消化液
人肺癌类器官培养试剂盒(Human Lung Cancer Organoid Medium Kit)
人乳腺癌类器官培养基培养试剂盒(Human Breast Cancer Organoid Culture Medium Kit)
人结直肠癌类器官培养试剂盒(Human Colorectal Cancer Organoid Culture Medium Kit )
人鼻粘膜类器官培养分化试剂盒(Human Nasal Mucosal Organoid Culture Differentiation Kit )
人鼻粘膜类器官培养扩增试剂盒(Human Nasal Mucosal Organoid Culture Amplification Kit )
人胃癌类器官培养试剂盒(Human Gastric Cancer Organoid Culture Medium Kit )
人肝癌类器官培养试剂盒(Human Hepatobiliary Cancer Organoid Culture Medium Kit )
© 2026 广州晨生生物制品有限公司 All Rights Reserved. 备案号:粤ICP备2024324670号-1 腾云建站仅向商家提供技术服务
TEL:19195523378