欢迎访问 广州晨生生物制品有限公司网站!
18027123438;18928878110;19195523378;18027119583

PRODUCT SERIES 产品展示

首页 > 产品展示
髓磷脂碱性蛋白(D8X4Q)XP兔子mab#78896 价格:

货号:78896T

在线询价
详细内容

产品使用信息

应用稀释
蛋白质印迹1:1000
简单的西方1:50-1:250
免疫组织化学(石蜡)1:1200
免疫荧光(冷冻)1:50
免疫荧光(免疫细胞化学)1:50

贮存

以10 mM HEPES(pH 7.5),150毫米NaCl,100 µg/ml BSA,50%甘油和小于0.02%的酰硫酸钠供应。存储在–20°C。请勿等分抗体。

特异性 /灵敏度

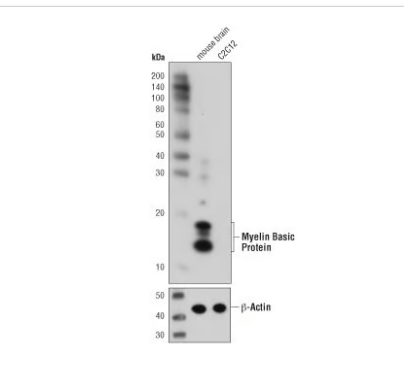
髓磷脂碱性蛋白(D8X4Q)XP兔子mAb识别总髓磷脂碱性蛋白的内源水平。


物种反应性:

人,小鼠,大鼠

来源 /净化

单克隆抗体是通过与与人髓磷脂碱性蛋白Ala185的残基相对应的合成肽免疫动物产生的。

背景

髓磷脂碱性蛋白(MBP)是一种丰富的中枢神经系统(CNS)髓磷脂膜蛋白,在神经髓鞘中起着重要作用。髓鞘是源自少突胶质细胞的多层膜,增加了轴突脉冲的传导速度。 MBP有助于粘附相邻的少突胶质细胞膜的细胞质小叶。 MBP的几种剪接变体在细胞中表达,并在翻译后(即,磷酸化,甲基化)修饰蛋白质,这表明额外的膜粘附功能(1)。


公众号
  • 联系人:陈刚
  • 邮箱:gzchicheung@163.com
  • 电话:18027123438;18928878110;19195523378;18027119583
  • 地址:广东省广州黄埔区科学城瑞和路79号2栋13层

© 2026 广州晨生生物制品有限公司  All Rights Reserved.   备案号:粤ICP备2024324670号-1 腾云建站仅向商家提供技术服务

TEL:19195523378