欢迎访问 广州晨生生物制品有限公司网站!
18027123438;18928878110;19195523378;18027119583

PRODUCT SERIES 产品展示

首页 > 产品展示
Neun(D4G4O)XP兔子mab#24307 价格:

货号:24307t

在线询价
详细内容

产品使用信息

应用稀释
蛋白质印迹1:1000
简单的西方1:10-1:50
免疫组织化学(石蜡)1:200-1:800
免疫荧光(冷冻)1:50-1:100

贮存

以10 mM HEPES(pH 7.5),150毫米NaCl,100 µg/ml BSA,50%甘油和小于0.02%的酰硫酸钠供应。存储在–20°C。请勿等分抗体。

特异性 /灵敏度

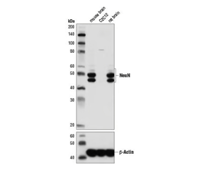
Neun(D4G4O)XP兔子mAb识别总新蛋白的内源水平。


物种反应性:

人,老鼠,老鼠,猴子

来源 /净化

单克隆抗体是通过针对人类Neun蛋白氨基末端的重组蛋白进行免疫动物来产生的。

背景

神经元核(Neun,FOX-3,RBFOX3)是一种核蛋白,在中枢和周围神经系统的大多数有丝分裂后神经元中表达。在Purkinje细胞,交感神经节细胞,Cajal-Retzius细胞,INL视网膜细胞,下橄榄核或齿状核神经元中未检测到Neun(1)。该神经元蛋白最初是通过单克隆抗体也称为NEUN的免疫反应性来鉴定的。使用MS分析,Neun后来被确定为FOX-3基因产物。 FOX-3包含一个RNA识别基序,并用作剪接调节剂(2)。 FOX-3调节麻木的替代剪接,促进发育过程中的神经元分化(3)。

  1. Mullen,RJ等。 (1992)开发116,201-11。

  2. Kim,KK等。 (2009)J Biol Chem 284,31052-61。

  3. Kim,KK等。 (2013)J Cell Biol 200,443-58。


公众号
  • 联系人:陈刚
  • 邮箱:gzchicheung@163.com
  • 电话:18027123438;18928878110;19195523378;18027119583
  • 地址:广东省广州黄埔区科学城瑞和路79号2栋13层

© 2026 广州晨生生物制品有限公司  All Rights Reserved.   备案号:粤ICP备2024324670号-1 腾云建站仅向商家提供技术服务

TEL:19195523378