PRODUCT SERIES 产品展示
货号:4267T
以10 mM HEPES(pH 7.5),150毫米NaCl,100 µg/ml BSA,50%甘油和小于0.02%的酰硫酸钠供应。存储在–20°C。请勿等分抗体。
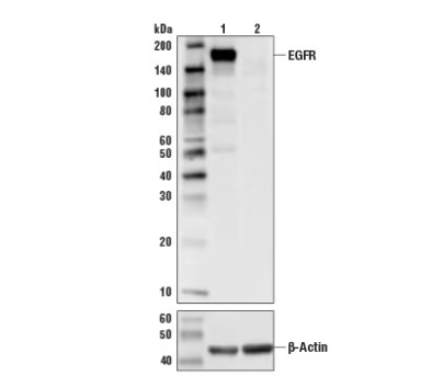
EGF受体(D38B1)XP Rabbit MAB检测总EGF受体蛋白的内源水平。该抗体不会与ERBB家族的其他蛋白质交叉反应。 IHC-P,IHC键和IF-IC的物种交叉反应性仅是人类。
物种反应性:
人,老鼠,猴子
单克隆抗体是通过用含有人类EGF受体的胞质结构蛋白的融合蛋白免疫动物来产生的。
表皮生长因子(EGF)受体是属于HER/ERBB蛋白家族的跨膜酪氨酸激酶。配体结合导致受体二聚化,自磷酸化,下游信号传导的激活,内在化和溶酶体降解(1,2)。激酶结构域Tyr845上EGF受体(EGFR)的磷酸化与稳定激活环,维持活性态酶并为底物蛋白提供结合表面(3,4)。 C-SRC参与Tyr845处EGFR的磷酸化(5)。 PLCγ的SH2结构域在磷酸-TYR992上结合,导致PLCγ介导的下游信号传导的激活(6)。 EGFR在Tyr1045上的磷酸化为衔接蛋白C-CBL创建了一个主要的对接位点,从而导致EGFR激活后的受体泛素化和降解(7,8)。 GRB2适配器蛋白在磷酸-TYR1068上结合活化的EGFR(9)。一对磷酸化的EGFR残基(Tyr1148和Tyr1173)为SHC支架蛋白提供了一个对接位点,并且两个位点都参与MAP激酶信号传导(2)。 EGFR在特定丝氨酸和苏氨酸残基上的磷酸化减弱了EGFR激酶活性。 EGFR羧基末端残基Ser1046和Ser1047被CAM激酶II磷酸化;这两种丝氨酸的突变导致EGFR酪氨酸自磷酸化上调(10)。
Hackel,Po等。 (1999)Curr Opin Cell Biol 11,184-9。
Zwick,E。等。 (1999)趋势Pharmacol Sci 20,408-12。
Cooper,JA和Howell,B。(1993)Cell 73,1051-4。
Hubbard,Sr等。 (1994)自然372,746-54。
Biscardi,JS等。 (1999)J Biol Chem 274,8335-43。
Emlet,博士等。 (1997)J Biol Chem 272,4079-86。
Levkowitz,G。等。 (1999)Mol Cell 4,1029-40。
Ettenberg,SA等。 (1999)癌基因18,1855-66。
Rojas,M。等。 (1996)J Biol Chem 271,27456-61。
Feinmesser,RL等。 (1999)J Biol Chem 274,16168-73。
Human Endometrium Organoid terminate Digestion Solution 人子宫内膜类器官终止消化液
人肺癌类器官培养试剂盒(Human Lung Cancer Organoid Medium Kit)
人乳腺癌类器官培养基培养试剂盒(Human Breast Cancer Organoid Culture Medium Kit)
人结直肠癌类器官培养试剂盒(Human Colorectal Cancer Organoid Culture Medium Kit )
人鼻粘膜类器官培养分化试剂盒(Human Nasal Mucosal Organoid Culture Differentiation Kit )
人鼻粘膜类器官培养扩增试剂盒(Human Nasal Mucosal Organoid Culture Amplification Kit )
人胃癌类器官培养试剂盒(Human Gastric Cancer Organoid Culture Medium Kit )
人肝癌类器官培养试剂盒(Human Hepatobiliary Cancer Organoid Culture Medium Kit )
© 2026 广州晨生生物制品有限公司 All Rights Reserved. 备案号:粤ICP备2024324670号-1 腾云建站仅向商家提供技术服务
TEL:19195523378