PRODUCT SERIES 产品展示
货号:71835s
以10 mM钠HEPE(pH 7.5),150 mM NaCl,100 µg/mL BSA,50%甘油和小于0.02%叠氮化钠提供。存储在–20°C。请勿等分抗体。
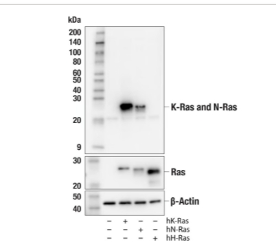
K-RAS(E2M9G)兔子MAB识别总K-RAS蛋白的内源水平。该抗体以K-RAS首选的方式与N-RAS进行交叉反应,但与H-RAS或R-RAS蛋白不反应。
物种反应性:
人,老鼠,老鼠,猴子
单克隆抗体是通过与与人K-RAS蛋白质val125的残基相对应的合成肽免疫动物产生的。
活性(GTP结合)和非活性(GDP结合)形式之间的21 kDa鸟嘌呤核苷酸结合蛋白(K-RAS,H-RAS和N-RAS)周期(1)。受体酪氨酸激酶和G蛋白偶联受体激活Ras,然后刺激RAF-MEK-MAPK途径(2-4)。 GTPase激活蛋白(GAP)通常促进RAS的失活。然而,研究表明,在30%的人类肿瘤中,RAS中的点突变阻止了间隙介导的该途径的抑制作用(5)。在肿瘤中发现的最常见的致癌性RAS突变是GLY12至ASP12(G12D),它可以通过增加蛋白质的整体刚度(5,6)来防止RAS失活。
Boguski,MS和McCormick,F。(1993)自然366,643-54。
Avruch,J。等。 (1994)趋势生物化学科学19,279-83。
Buday,L。and Dousthard,J。(1993)Cell 73,611-20。
Huang,DC等。 (1993)Mol Cell Biol 13,2420-31。
BOS,JL(1989)Cancer Res 49,4682-9。
Ma,J。和Karplus,M。(1997)J Mol Biol 274,114-31。
Human Endometrium Organoid terminate Digestion Solution 人子宫内膜类器官终止消化液
人肺癌类器官培养试剂盒(Human Lung Cancer Organoid Medium Kit)
人乳腺癌类器官培养基培养试剂盒(Human Breast Cancer Organoid Culture Medium Kit)
人结直肠癌类器官培养试剂盒(Human Colorectal Cancer Organoid Culture Medium Kit )
人鼻粘膜类器官培养分化试剂盒(Human Nasal Mucosal Organoid Culture Differentiation Kit )
人鼻粘膜类器官培养扩增试剂盒(Human Nasal Mucosal Organoid Culture Amplification Kit )
人胃癌类器官培养试剂盒(Human Gastric Cancer Organoid Culture Medium Kit )
人肝癌类器官培养试剂盒(Human Hepatobiliary Cancer Organoid Culture Medium Kit )
© 2026 广州晨生生物制品有限公司 All Rights Reserved. 备案号:粤ICP备2024324670号-1 腾云建站仅向商家提供技术服务
TEL:19195523378