欢迎访问 广州晨生生物制品有限公司网站!
18027123438;18928878110;19195523378;18027119583

PRODUCT SERIES 产品展示

首页 > 产品展示
重组Anti-DLL3抗体[EPR22592-18] (ab229902) 价格:

货号:ab229902

在线询价
详细内容

  • 产品名称

    Anti-DLL3抗体[EPR22592-18]
    参阅全部 DLL3 一抗

  • 描述

    兔单克隆抗体[EPR22592-18] to DLL3

  • 宿主

    Rabbit

  • 特异性

    The mouse recommendation is based on the IHC-P results. We do not guarantee WB for mouse.

  • 经测试应用

    适用于: WBIHC-PICC/IFIPFlow Cyt (Intra)more details

  • 种属反应性

    与反应: Mouse, Human

  • 免疫原

    Synthetic peptide. This information is proprietary to Abcam and/or its suppliers.

  • 阳性对照

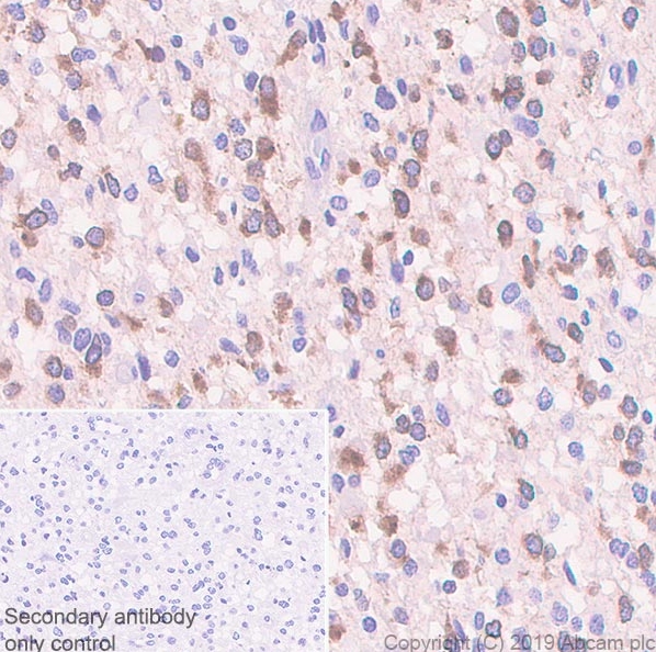
    • WB: HEK-293T transfected with DLL3 (WT) expression vector containing a myc-His-tag®, whole cell lysate, TT cell lysate. IHC-P: Human small cell lung cancer and glioma tissue; Mouse embryonic brain of day 14.5 tissue. ICC/IF: HEK-293T cells. Flow: HEK-293T cells. IP: HEK-293T transfected with DLL3 expression construct containing a myc-His-tag® whole cell lysate.

  • 常规说明

    This product is a recombinant monoclonal antibody, which offers several advantages including:

    For more information see here.

    Our RabMAb® technology is a patented hybridoma-based technology for making rabbit monoclonal antibodies. For details on our patents, please refer to RabMAb® patents.

    • - High batch-to-batch consistency and reproducibility

    • - Improved sensitivity and specificity

    • - Long-term security of supply

    • - Animal-free production


公众号
  • 联系人:陈刚
  • 邮箱:gzchicheung@163.com
  • 电话:18027123438;18928878110;19195523378;18027119583
  • 地址:广东省广州黄埔区科学城瑞和路79号2栋13层

© 2026 广州晨生生物制品有限公司  All Rights Reserved.   备案号:粤ICP备2024324670号-1 腾云建站仅向商家提供技术服务

TEL:19195523378