

高透耐酸碱盖玻片,厚度:0.15mm

WHB一步法细胞爬片采用高端的玻片制作,厚度为0.15mm,有圆形和方形。已处理,已灭菌,拆开即用。采用先进的玻片表面处理技术(TC处理→超强吸附)可促进细胞在玻片上贴壁生长,细胞贴壁牢固。即使在后期免疫组化、免疫荧光、原位杂交处理过程中也不易脱片,避免传统方法中从培养瓶转移到载玻片上的损伤。使用一步法细胞爬片不用预处理,避免在后期处理中细胞容易脱片等种种问题。
爬片常用的规格:圆形(φ24mm,φ20mm,φ14mm,φ8mm,φ3mm) 方形(24*24mm,15*15mm,10*10mm,4*4mm);
WHB细胞爬片有TC处理和多聚赖氨酸包被两种,双面均可使用,避免了实验误差;
TC处理适用于贴壁较好的细胞,多聚赖氨酸包被适用于贴壁不好的细胞比如神经细胞和转染细胞;
爬片高强度耐酸碱,特殊实验浸泡一个星期均不会碎片;
一步法细胞爬片只需打开包装即可使用,节省成本,节省实验员的试验时间;
经过伽马射线灭菌,无DNA酶,无RNA酶,无热原。

组织学,免疫组织化学,冰冻切片,细胞涂片,原位杂交等。

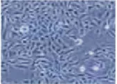
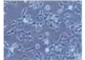
不同细胞使用WHB细胞爬片培养下的细胞状态对比图



L929细胞24h(1.5x10/ml)5 CH0细胞48h(2x10/ml)5 HEK293细胞48h(2x10/ml)5

1. 在超净台内,使用75%乙醇擦拭外包装铝箔袋。
2. 拆开铝箔袋,取出内置器皿后,用尖镊将内置爬片取出放入所用培养板或培养皿内。
3. 用胰酶消化好细胞,充分吹打,使之成单细胞悬液(注意:这一点很重要,关系到将来爬出来片子的质量)。
4. 种植细胞时,根据玻片的大小,先在每个孔里准备放爬片的位置滴少量培养基,目的是使玻片与培养皿靠培养基的张力粘合到一起,然后放玻片,防止加细胞悬液时玻片漂起,造成双层细胞贴片。整个过程注意无菌操作。
5. 根据自己的需要选择合适的细胞密度种入培养板内即可。
6. 使用细胞爬片时,(比如在6孔板钟放入爬片,6孔板的孔底面积往往比爬片面积多出一部分,加细胞悬液时,常常就是细胞铺满整个孔底,有时,细胞生长边集现象,就是靠近壁边缘细胞密度要高一些,这样处于中央细胞爬片上的细胞数量相对较少),比较好的做法是,将爬片放入孔内后,加细胞悬液时,只滴到爬片上,一直滴到液体布满整个爬片,但又不易溢出爬片边缘,放到培养箱里,等细胞贴壁后,取出,再滴加培养基布满整个孔底,继续培养,这样爬片上的细胞生长的密度就会很集中。
7. 细胞放到爬片上,之后加任何试剂,都应沿培养板板壁少量一点点倒入液体,直到细胞被液体淹没,尽量不要把细胞冲到细胞爬片以外!
8. 作用一定时间后取玻片。取玻片时由于玻片与培养皿底结合较紧,张力较大,一般将注射器针头针尖向背面弄个小钩,这样将爬片轻轻勾起,用小镊子取出就可以了。如果要做诸如24h,48h,72h等这样时间点的实验的话,将所需数量的爬片取出时应用酒精灯火焰烧一下针头和镊子。末取出的可接着继续培养。
9. 细胞爬片,有多层包装,在超净台无菌状态下打开包装,未用完的爬片按照原先包装方式再包装起来即可。
10. 爬片表面带有正电荷,请勿用手触摸,以免效果不佳!